Woke up yesterday with some pain in the lower back, thought maybe I pulled my back or something. When I started to sweat and pissing blood I knew something was up. Drove myself to ER, 3 hours waiting, then another 3 for discharge and I have this...
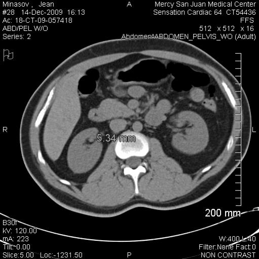
Right kidney: There is a 5 mm calculus at the ureteropelvic
junction on the right without hydronephrosis. The right ureter
is decompressed. No additional calculi in the ureter. No
recently passed stones in the bladder or upper urethra. No
perinephric fluid surrounding the right kidney. No gross mass
identified on this very limited scan.
So I am taking some pain killers and something else to help it pass, but i have no idea how long it's going to take. thinking maybe need to find a doctor or specialist to break the stone down into smaller pieces or something via ultrasound?
Not looking forward to any of this . FML
Right kidney: There is a 5 mm calculus at the ureteropelvic
junction on the right without hydronephrosis. The right ureter
is decompressed. No additional calculi in the ureter. No
recently passed stones in the bladder or upper urethra. No
perinephric fluid surrounding the right kidney. No gross mass
identified on this very limited scan.
So I am taking some pain killers and something else to help it pass, but i have no idea how long it's going to take. thinking maybe need to find a doctor or specialist to break the stone down into smaller pieces or something via ultrasound?
Not looking forward to any of this . FML






Comment